Lompat ke konten Lompat ke sidebar Lompat ke footer

40+ Sickle Cell Anemia Sc UK

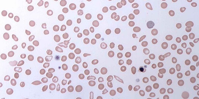
40+ Sickle Cell Anemia Sc UK. Sickle cell anemia, or sickle cell disease (scd), is a genetic disease of the red blood cells (rbcs). Hemoglobin sc disease is the second most common type of sickle cell disease.

Student Work Sickle Cell
Student Work Sickle Cell from image.slidesharecdn.com
Sickle cell anemia manifests in early childhood with symptoms associated with vascular occlusion and hemolytic anemia. There are approximately 280 million. Yet it is enough to change the chemical properties of hemoglobin, the iron and protein complex that carries oxygen within red blood cells.

The goals of sickle cell tests are to diagnose sickle cell anemia as soon as possible, to identify people with sickle cell trait, and to identify, evaluate, and treat complications as they arise.

The sickle cells also get stuck in blood. Sickle cell trait or the carrier state is the heterozygous form characterized by the presence of around 40% hbs, absence of anemia, inability to concentrate urine (isosthenuria), and hematuria. These sickle shaped cells get stuck together easily, and block off small blood vessels. Signs and symptoms of sickle cell disease can be mild or severe enough to require frequent sc_analytics_global_cookie x2.

Posting Komentar untuk "40+ Sickle Cell Anemia Sc UK"